
Crowns and Veneers Process
How it's done:
Crowns involve preparing the tooth by removing any decay and shaping it to fit the crown, which is custom-made to match the patient's natural teeth. Veneers require minimal enamel removal and are custom-designed to bond to the front of teeth. Both procedures use impressions or digital scans to ensure a perfect fit and are completed in two visits.
How it works for you:
Crowns restore strength and function to damaged teeth, while veneers enhance the aesthetics of a smile. Both provide long-lasting, natural-looking results.
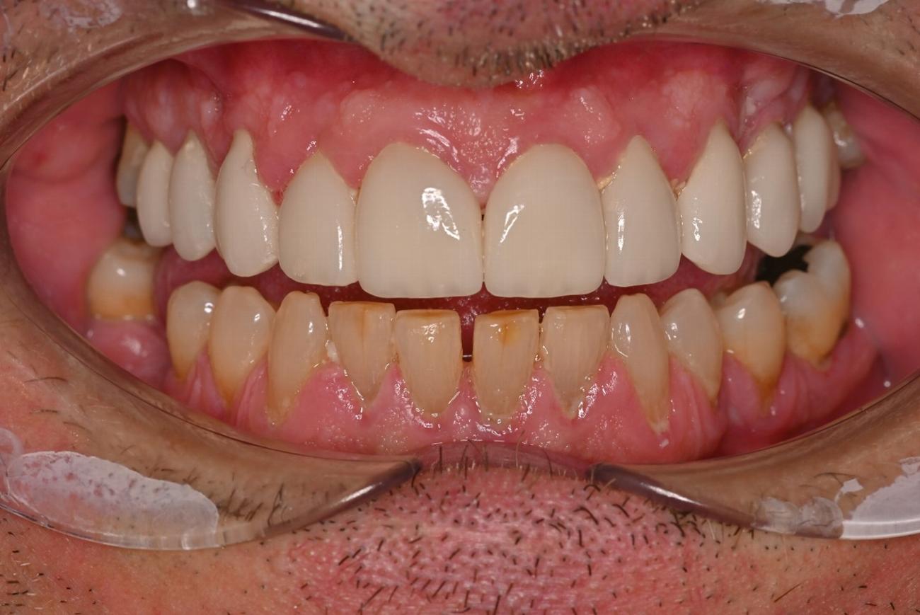
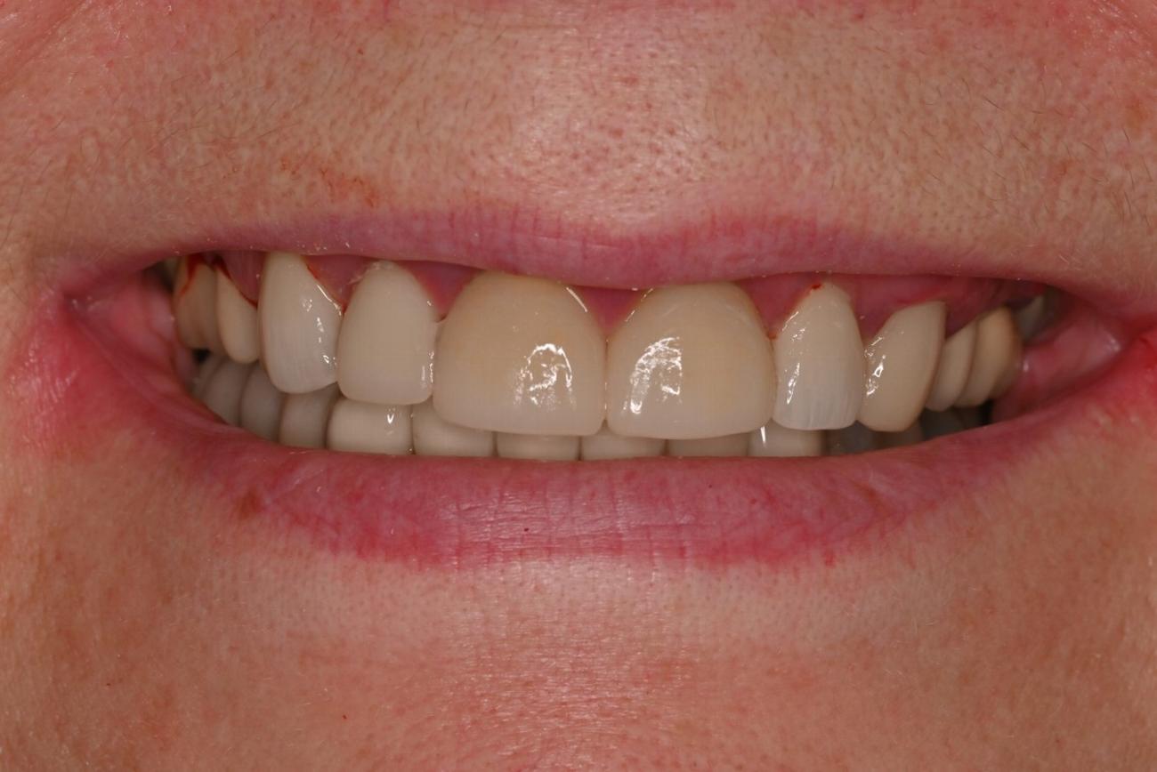
TREATMENT RESULTS
Contact Saad Habib to start your Crowns or Veneers journey

CONTACT
If you are looking for a compassionate and highly skilled cosmetic dentist in Doncaster, get in touch with Saad Habib today.
ASSOCIATE SURGERIES
Hatfield Dental Care, 10-12 High St, Hatfield, Doncaster DN7 6RY.
Phone 01302 843014
Churchview Dental Practice, 63 Thorne Rd, Doncaster DN1 2EX.
Phone 01302 342814
Saad Dental Ltd is registered as a limited company in England and Wales under company number 15900728.







