
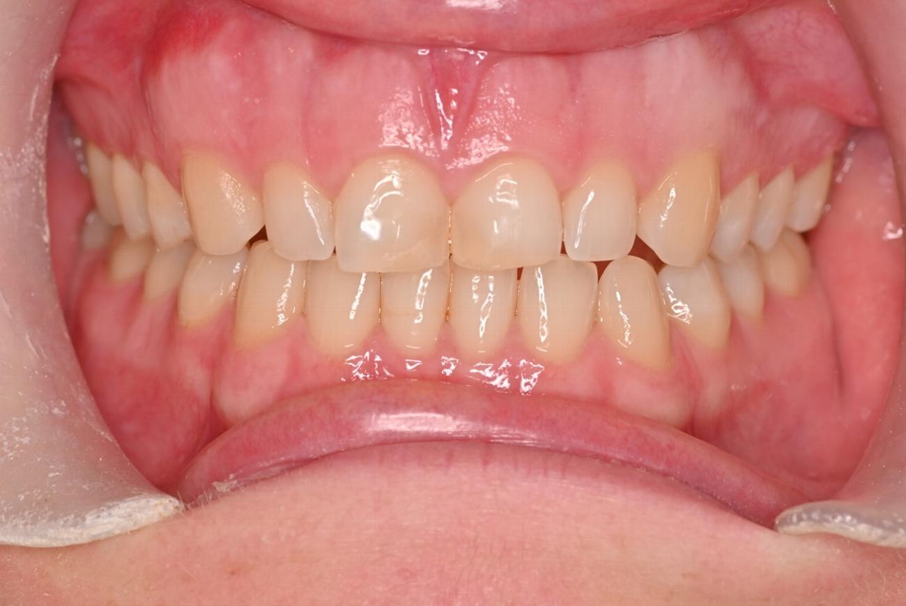
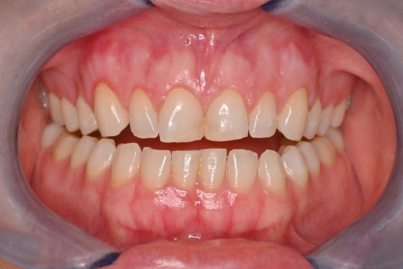
Gum Contouring Process
How it's done:
The dentist uses a laser or surgical tools to remove excess gum tissue and reshape the gum line, exposing more of the tooth's surface. The area is then carefully cleaned and allowed to heal.
How it works for you:
Patients achieve a more proportionate, attractive smile with minimal discomfort and downtime. This procedure is often combined with other aesthetic treatments for a complete smile makeover.
TREATMENT RESULTS
Contact Saad Habib to start your Gum Contouring journey

CONTACT
If you are looking for a compassionate and highly skilled cosmetic dentist in Doncaster, get in touch with Saad Habib today.
ASSOCIATE SURGERIES
Hatfield Dental Care, 10-12 High St, Hatfield, Doncaster DN7 6RY.
Phone 01302 843014
Churchview Dental Practice, 63 Thorne Rd, Doncaster DN1 2EX.
Phone 01302 342814
Saad Dental Ltd is registered as a limited company in England and Wales under company number 15900728.



